개요 (Overview)
레이저홍채절개술(Laser Peripheral Iridotomy, LPI 또는 LI)은 Nd:YAG 레이저로 홍채에 작은 관통공을 만들어 후방 → 전방 방수 통로를 확보, 동공차단(pupillary block)을 해소하는 시술입니다.

폐쇄각녹내장의 1차 치료이자, 반대안 예방적 시술로 시행됩니다.
적응증
- 급성폐쇄각 (안압 조절 후)
- 만성폐쇄각
- Primary angle closure (PAC) — 좁은 전방각 + 높은 안압 또는 PAS
- 반대안 예방적 LI (급성 발작 환자의 반대안)
- 동공차단이 의심되는 상황
금기/주의
- 각막 혼탁으로 레이저 불가 → 수술적 홍채절제
- PACS (primary angle closure suspects): ZAP trial에서 6년간 유의한 benefit 없음 → LI 불필요할 수 있음
Exam Point
ZAP Trial: Primary angle closure suspects (좁은 각이나 안압 정상, PAS 없음)에서 예방적 LI가 6년간 유의한 녹내장 예방 효과를 보이지 못했습니다. 따라서 PACS에서 LI는 반드시 시행할 필요는 없습니다.
시술 방법 (Treatment)
Nd:YAG Laser Iridotomy
- 전처치: Pilocarpine 2% + Apraclonidine 1%
- 콘택트렌즈: Abraham iridotomy lens
- 위치: 상이측(11시 또는 1시 방향) — 윗눈꺼풀에 가려지는 곳
- 에너지: 2-8 mJ, 1-3 pulses
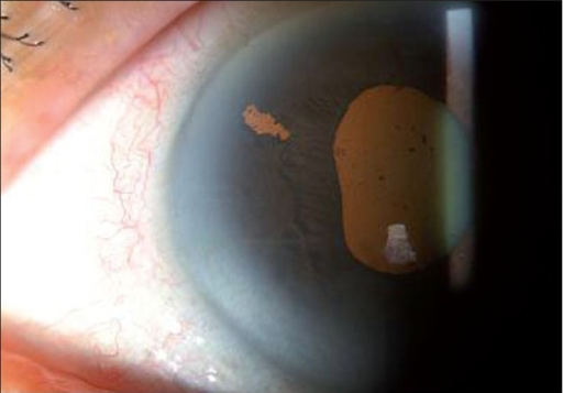
- 확인: 홍채 관통 — 후방에서 색소 분출, 전방 deepening
두꺼운 홍채 (특히 아시아인)
- Sequential method: Argon laser pre-treatment (stretch/thin) → Nd:YAG
- Argon: 200-500 mW, 200-500 ms, 50-200 μm spot
Surgery Pearl— Nd:YAG Laser Iridotomy
- 최적 위치: 홍채 이음매(iris crypt) — 얇은 부위
- 파란/초록 홍채: Nd:YAG 단독으로 쉽게 관통
- 갈색/두꺼운 홍채: Argon pre-treatment 필요
- 관통 확인: 홍채 뒤에서 색소 분출(pigment plume), 직접 관통 가시
- 크기: 200-300 μm (너무 작으면 폐쇄 위험)
예후/경과 (Prognosis)
- 동공차단 해소에 매우 효과적
- 급성 발작: LI 후 대부분 안압 정상화
- PAS가 이미 광범위하면 LI만으로 부족 → 약물/수술 필요
- LI 폐쇄 가능 → 정기 확인
시험 포인트 / Board Points
Board Point
- Nd:YAG가 표준 ⭐⭐⭐: Argon은 보조(pre-treatment)
- 위치 — 상측(상이측) ⭐⭐: 윗눈꺼풀에 가려짐
- 반대안 예방적 LI ⭐⭐⭐: 급성 발작 환자에서 필수
- ZAP trial ⭐⭐: PACS에서 예방적 LI의 benefit 불확실
- EAGLE ⭐⭐: 수정체제거가 LI보다 우수할 수 있음
- Plateau iris: LI 후에도 좁은 각 → ALPI 필요
Guideline Snapshot— AAO PPP 2025
- 급성/만성 폐쇄각: LI 1차 치료
- 반대안 예방적 LI 시행
- PACS: LI 의무는 아님 (ZAP trial)
- LI 후 전방각경 추적
참고문헌 (References)
- He M, Jiang Y, et al. Laser peripheral iridotomy for the prevention of angle closure: a single-centre, randomised controlled trial (ZAP). Lancet. 2019;393(10181):1609-1618.
- Azuara-Blanco A, Burr J, et al. EAGLE study. Lancet. 2016;388(10052):1389-1397.
- American Academy of Ophthalmology. Primary Angle Closure Disease PPP. 2025.