개요 (Overview)
수정체관련녹내장(Lens-Related Glaucoma)은 수정체의 물리적 변화 또는 단백질 누출에 의해 안압이 상승하는 이차 녹내장입니다. 크게 3가지 유형으로 분류됩니다.


분류 및 증상/징후 (Classification & Signs)
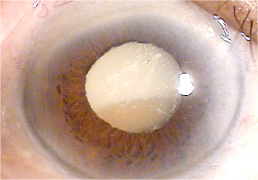
1. Phacomorphic Glaucoma (수정체팽대녹내장)
- 기전: 팽대한 백내장(intumescent cataract) → 수정체 전면이 앞으로 밀림 → pupillary block → 이차 폐쇄각
- 소견: 팽대 백내장, 얕은 전방, 높은 안압, 통증, 충혈
- 치료: 안압 하강 → 수정체제거
2. Phacolytic Glaucoma (수정체용해녹내장)
- 기전: 과숙 백내장(hypermature cataract)에서 고분자량 단백질이 수정체 피막을 통해 전방으로 누출 → 대식세포가 이를 탐식 → 대식세포-단백질이 섬유주 폐쇄 → 이차 개방각
- 소견: 과숙 백내장, 전방 flare 심함, 큰 세포(대식세포), 개방각, 높은 안압
- 치료: 스테로이드 + 안압하강 → 수정체제거
3. Lens Particle Glaucoma (수정체입자녹내장)
- 기전: 백내장수술 후 또는 외상 후 잔여 수정체 조각이 섬유주를 직접 폐쇄
- 소견: 수술/외상 후 안압 상승, 전방 내 수정체 물질, 염증
- 치료: 스테로이드 + 안압하강 → 필요 시 잔여 물질 수술적 제거
Exam Point
Phacomorphic vs Phacolytic 감별:
- Phacomorphic: 팽대 백내장, 폐쇄각, 얕은 전방
- Phacolytic: 과숙 백내장, 개방각, 전방 flare/대식세포 둘 다 수정체제거가 확정적 치료입니다.
Board Point
Lens-related glaucoma의 핵심 감별:
| 유형 | 수정체 상태 | 전방각 | 특징적 소견 |
|---|---|---|---|
| Phacomorphic | 팽대 (intumescent) | 폐쇄 | 얕은 전방, pupillary block |
| Phacolytic | 과숙 (hypermature) | 개방 | 전방 flare, 대식세포 |
| Lens particle | 수술/외상 후 잔여 조각 | 개방 | 수정체 물질 관찰 |
진단 (Diagnosis)
- 세극등검사: 수정체 상태, 전방 깊이, 전방 세포/flare
- 전방각경검사: 개방각 vs 폐쇄각 — 유형 감별에 핵심
- 안압 측정
- 반대안 비교: 전방 깊이 비대칭 확인
치료 (Treatment)
공통: 수정체제거가 확정적 치료
- 술전 안압 하강: Timolol, acetazolamide, mannitol
- Phacomorphic: 얕은 전방 → 수술 전 안압 하강 중요
- Phacolytic: 스테로이드 점안으로 염증 조절 후 수술
예후/경과 (Prognosis)
- 수정체제거 후 대부분 안압 정상화
- 장기간 방치된 경우 PAS 형성 → 영구적 안압 상승 가능
시험 포인트 / Board Points
Board Point
- Phacomorphic = 폐쇄각, Phacolytic = 개방각 ⭐⭐⭐
- Phacolytic의 전방 소견: 대식세포 (macrophage-laden with lens protein)
- 수정체제거가 확정적 치료 ⭐⭐
- Lens particle: 수술/외상 후 발생
Controversies / Recent Updates
- 과숙 백내장 수술의 timing: 응급 vs 반응급 — 안압 조절 후 계획적 수술 선호
Guideline Snapshot— Expert Consensus
- Phacomorphic은 안과 응급 — 안압 하강 후 빠른 수술
- Phacolytic는 염증 조절 + 안압 하강 후 수술
- 수정체제거가 확정적 치료
참고문헌 (References)
- Epstein DL. Diagnosis and management of lens-induced glaucoma. Ophthalmology. 1982;89(3):227-230.
- Papaconstantinou D, Georgalas I, et al. Lens-induced glaucoma in the modern era. Graefes Arch Clin Exp Ophthalmol. 2009;247(11):1487-1495.