개요 (Overview)
코츠병(Coats Disease)은 **편측성 특발성 망막모세혈관확장증(retinal telangiectasia)**으로, 비정상 혈관에서 대량의 지질 삼출이 발생하여 삼출망막박리까지 진행할 수 있는 질환입니다. 주로 소아 남아에서 발생하며, 백색동공(leukocoria)으로 발견되는 경우 **망막모세포종(retinoblastoma)**과의 감별이 최우선입니다.

역학 (Epidemiology)
- 평균 진단 연령: 약 5세 (성인 발병도 있음)
- 남아 : 여아 = 3:1
- 편측성이 95% 이상
- 비유전성, 산발적 발생
원인/병태생리 (Pathophysiology)
- 원인 불명 (특발성)
- 망막 모세혈관/세동맥의 혈관벽 이상 → 확장(telangiectasia) + aneurysm 형성
- 혈관벽 투과성 증가 → 대량 지질 삼출 + 장액 삼출
- 진행 시 삼출망막박리 → 이차 녹내장 → 안구위축
분류 및 증상/징후 (Classification & Signs)
Shields 분류
| Stage | 소견 |
|---|---|
| 1 | 망막 telangiectasia만 |
| 2A | Telangiectasia + 중심와 외 삼출 |
| 2B | Telangiectasia + 중심와 침범 삼출 |
| 3A1 | 부분 삼출 박리 (중심와 외) |
| 3A2 | 부분 삼출 박리 (중심와 침범) |
| 3B | 전체 삼출 박리 |
| 4 | 전체 박리 + NVG |
| 5 | 말기 (안구위축/phthisis) |
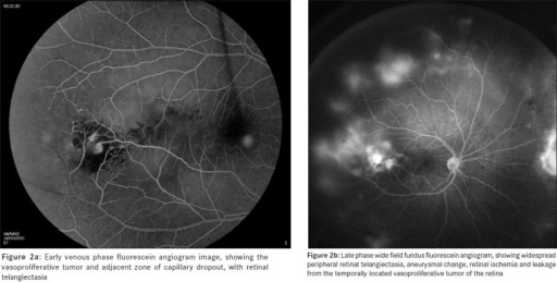
진단 (Diagnosis)
- 산동 안저검사: telangiectasia, 지질 삼출, 삼출 박리
- FAG: 비정상 혈관의 확장, aneurysm, 누출 확인 — 치료 계획 수립
- B-scan US: 석회화 없음 (Rb과 감별)
- MRI: Rb 감별 — Coats는 T1 high signal (단백/지질), Rb는 enhancement + 석회화
Leukocoria 감별에서 Coats vs Retinoblastoma: B-scan/CT에서 석회화 있으면 Rb, 없으면 Coats 가능성. Rb에서는 조영증강 종괴, Coats에서는 삼출액이 주 소견.
감별진단 (Differential Diagnosis)
- 망막모세포종: 석회화, 조영증강 종괴, 양안 가능
- ROP: 미숙아 병력, 양안
- FEVR: 가족력, 주변부 무혈관, 양안 가능
- 톡소카라: 육아종, ELISA 양성
치료 (Treatment)
- Stage 1-2: 비정상 혈관에 레이저광응고 또는 냉동응고
- Stage 3: 레이저/냉동 + 삼출액 drainage (외부 또는 PPV)
- Stage 4: NVG 관리 + 안구보존 시도
- Stage 5: 안구적출 고려 (통증, 미용)
- Anti-VEGF: 보조적 사용 (삼출 감소), 단독 사용은 불충분
예후/경과 (Prognosis)
- Stage 1-2A: 치료 시 시력 보존 양호
- Stage 2B-3: 중심와 침범 시 시력 예후 불량
- Stage 4-5: 안구 보존이 목표, 시력 회복 어려움
- 재발 흔하므로 장기 추적 필수
시험 포인트 / Board Points
- 편측, 소아 남아, telangiectasia + 대량 지질삼출 = Coats disease
- Leukocoria 감별: Rb(석회화+) vs Coats(석회화-) — 가장 중요
- 비유전성, 비가족성
- FAG로 치료 대상 혈관 확인
- 성인형 Coats (adult-onset)도 존재 — idiopathic juxtafoveal telangiectasia와 감별
Controversies / Recent Updates
- Anti-VEGF 보조 사용의 효과와 안전성에 대한 대규모 연구 부족
- 성인형 Coats와 macular telangiectasia type 1의 관계
- 모든 leukocoria에서 Rb 감별 최우선
- Stage별 계획적 치료 (레이저/냉동 → PPV → 안구보존)
- FAG 기반 치료 계획
- 장기 추적 (재발 감시)
참고문헌 (References)
- Shields JA, Shields CL, et al. Classification and management of Coats disease: the 2000 Proctor Lecture. Am J Ophthalmol. 2001;131(5):572-583.
- Shields CL, Sun H, et al. Factors predictive of tumor recurrence, metastasis, and death in retinoblastoma and Coats disease differential features. Am J Ophthalmol. 2002;133(1):91-99.