개요 (Overview)
안와종양은 안와 내에 발생하는 양성/악성 신생물의 총칭입니다. 연령에 따라 흔한 종양이 다르며, 영상과 생검을 통한 정확한 진단이 치료 결정의 핵심입니다.

분류 (Classification)
양성 종양 (Benign Tumors)
| 분류 | 대표 질환 | 특징 |
|---|---|---|
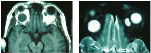
| 혈관종 | Cavernous hemangioma (성인 가장 흔함), Capillary hemangioma (소아 가장 흔함) | 서서히 진행하는 무통성 안구돌출 |
| 림프증식 | Lymphoid hyperplasia (반응성) | 양성이나 림프종으로 진행 가능 |
| 신경종양 | Optic nerve glioma, Schwannoma, Neurofibroma | NF1과 연관 |
| 수막종 | Optic nerve sheath meningioma, Sphenoid wing meningioma | 성인 여성 호발 |
| 기타 | Dermoid cyst (소아 가장 흔한 안와 종괴), Fibrous histiocytoma | 위치에 따라 증상 다양 |
악성 종양 (Malignant Tumors)
| 분류 | 대표 질환 | 특징 |
|---|---|---|
| 림프종 | 안와 림프종 (성인 가장 흔한 악성) | MALT lymphoma 가장 흔함, 연어색 결막 종괴 |
| 전이암 | 유방암, 폐암 전이 | 성인 안와 악성 종양 중 흔함 |
| 횡문근육종 | Rhabdomyosarcoma | 소아 가장 흔한 원발성 안와 악성 종양 |
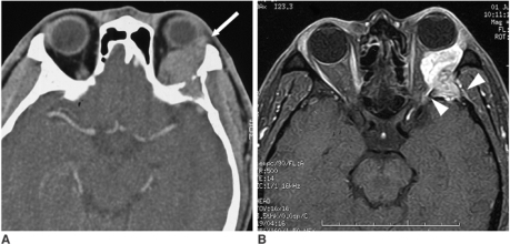
| 선양낭성암 | Adenoid cystic carcinoma | 눈물샘 악성 종양의 대표, 신경주위 침윤 |
| 기타 | Fibrosarcoma, Hemangiopericytoma | 드물지만 공격적 |
연령별 감별 포인트
| 연령 | 가장 흔한 양성 | 가장 흔한 악성 |
|---|---|---|
| 소아 (0-15세) | Dermoid cyst, Capillary hemangioma | Rhabdomyosarcoma |
| 성인 (16-60세) | Cavernous hemangioma | Lymphoma, 전이암 |
| 고령 (>60세) | Lymphoid hyperplasia | Lymphoma |
위치별 감별
| 위치 | 주요 종양 |
|---|---|
| 근원추 내(intraconal) | Cavernous hemangioma, 시신경 종양 |
| 근원추 외(extraconal) | 눈물샘 종양, Dermoid cyst |
| 근원추 내외 | 림프종, 전이암 |
| 시신경 | Glioma (소아), Meningioma (성인) |
주요 안와종양 영상 소견






역학 (Epidemiology)
연령별 흔한 안와종양
| 연령 | 흔한 종양 |
|---|---|
| 소아 | Dermoid cyst, Capillary hemangioma, Rhabdomyosarcoma (가장 흔한 소아 악성) |
| 성인 | Cavernous hemangioma (가장 흔한 양성), Lymphoma (가장 흔한 악성) |
| 전이 | 유방암, 폐암 → 안와 전이 |
분류 및 증상/징후 (Classification & Signs)
안구돌출의 방향으로 종양 위치 추정
- 축성(axial) 돌출: 근원추 내 종양 (해면혈관종, 시신경교종)
- 비축성(non-axial) 돌출: 근원추 외 종양 (눈물샘종양→하내측 편위)
Exam Point
**소아의 급속 진행하는 안구돌출 = 횡문근육종(rhabdomyosarcoma)**을 먼저 감별! 가장 흔한 소아 안와 악성종양이며, 긴급 생검 + 항암치료가 필요합니다.
진단 (Diagnosis)
- CT: 골 침범, 석회화 평가
- MRI: 연조직 해상도 우수, 시신경 침범 평가
- 생검: 조직학적 확진
- 초음파: 일부 종양의 특성 평가
치료 (Treatment)
- 조직학적 진단에 따라 결정
- 양성: 수술적 절제 (완전 절제 가능 시)
- 악성: 다학제 (수술 + 방사선 + 항암)
- 림프종: 방사선 ± rituximab
Surgery Pearl— 안와종양 절제 접근법
- 전방 접근(anterior orbitotomy): 전방 안와종양
- 외측 접근(lateral orbitotomy): 근원추 내 종양 (해면혈관종)
- 두개안와 접근: 후방/시신경 종양 (신경외과 협진)
- 내시경 접근: 내측벽/하벽 종양
시험 포인트 / Board Points
Board Point
- 연령별 흔한 안와종양 ⭐⭐⭐: 소아(dermoid, capillary hemangioma, rhabdomyosarcoma), 성인(cavernous hemangioma, lymphoma)
- 소아 급속 안구돌출 = rhabdomyosarcoma 감별
- 축성 vs 비축성 안구돌출: 종양 위치 추정
- 눈물샘 종양: 상외측, 안구 하내측 편위
Guideline Snapshot— AAO BCSC 2024-2025
- CT + MRI: 필수 영상
- 생검: 조직학적 확진 후 치료
- 연령 고려: 소아 악성종양 감별
- 다학제 접근: 악성종양
참고문헌 (References)
- Shields JA, Shields CL. Orbital tumors in adults. Surv Ophthalmol. 2016;61(5):628-645.
- American Academy of Ophthalmology. Basic and Clinical Science Course, Section 7. 2024-2025.