개요 (Overview)
안와림프종은 성인 안와의 가장 흔한 악성종양입니다. 대부분 **MALT 림프종(Extranodal Marginal Zone B-cell Lymphoma, EMZL)**으로 저등급이며, 방사선치료에 잘 반응합니다.

역학 (Epidemiology)
- 성인 안와 악성종양의 약 55%
- 60대 이상에서 호발
- MALT 림프종이 가장 흔함 (50-80%)
- 양안성: 약 10-15%
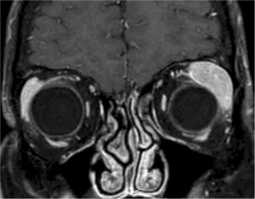
분류 및 증상/징후 (Classification & Signs)
- 무통성, 서서히 진행하는 안구돌출/종괴
- 결막: "salmon patch" (연어색 결막하 병변)
- CT/MRI: molding 양상 (주변 구조물을 따라 퍼지며, 골 침범 없음)
Exam Point
안와 림프종의 CT 특징: molding pattern — 종양이 주변 구조물을 파괴하지 않고 사이사이로 퍼지는 양상. 해면혈관종(well-defined round mass)과 감별됩니다.
진단 (Diagnosis)
- 생검 필수: 절개 생검, 면역조직화학
- 유세포 분석: B-cell 단클론성 확인
- PET-CT: 전신 병기 결정
- 골수 생검: 고등급 림프종 시
치료 (Treatment)
- 국한성 MALT (Stage IE): 방사선 24-30 Gy → 치료율 >90%
- 전신성: Rituximab ± 항암 (R-CHOP 등)
- 고등급 (DLBCL 등): R-CHOP + 방사선
예후/경과 (Prognosis)
- MALT 림프종: 5년 생존율 >90%
- DLBCL: 5년 생존율 약 60-70%
- 안와 국한 → 전신 진행: MALT에서 약 10-30% (장기 추적)
시험 포인트 / Board Points
Board Point
- 성인 안와 가장 흔한 악성종양 ⭐⭐⭐
- MALT lymphoma: 가장 흔한 유형, 저등급, 방사선 반응 우수
- Salmon patch: 결막 림프종의 특징적 소견
- CT: molding pattern (비파괴적)
- A-scan: low internal reflectivity (해면혈관종과 반대)
- 전신 선별(PET-CT) 필수
Guideline Snapshot— AAO BCSC 2024-2025 / NCCN
- 생검 확진 필수 (면역조직화학)
- 전신 병기결정: PET-CT
- 국한성 MALT: 방사선 24-30 Gy
- 전신성: Rituximab ± 항암
참고문헌 (References)
- Rasmussen P, et al. Orbital MALT lymphoma: radiotherapy outcomes. Ophthalmology. 2015;122(5):1005-1012.
- American Academy of Ophthalmology. Basic and Clinical Science Course, Section 7. 2024-2025.