개요 (Overview)
사르코이드증의 안구 침범은 비건락성 육아종성 염증으로 어떤 형태의 포도막염이든 가능합니다. 전방포도막염(가장 흔함), 중간포도막염, 후포도막염, 전체포도막염 모두 나타날 수 있습니다. Mutton-fat KP와 홍채결절이 특징적입니다.

IWOS 안구 소견
- Mutton-fat KP (양지방 각막후면침착물)
- 홍채결절 (Koeppe, Busacca)
- Trabecular meshwork 결절 / tent-shaped PAS
- Snowball / string of pearls 유리체 혼탁
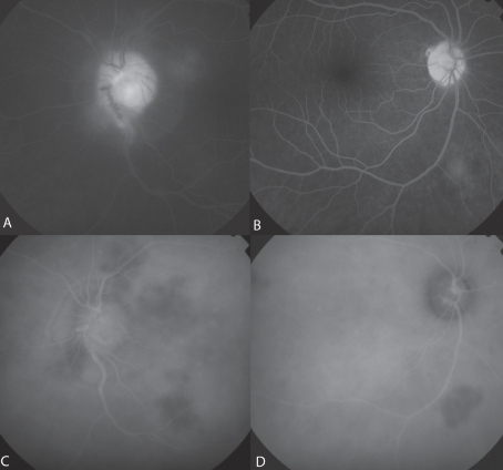
- 다발성 맥락막결절 (작은 또는 큰)
- Candle-wax dripping (혈관주위 삼출)
- 시신경육아종 / 유두주위 결절
시험 포인트 / Board Points
- Mutton-fat KP = 육아종성 포도막염의 전형
- 어떤 형태의 포도막염이든 가능
- Candle-wax dripping = 혈관주위 삼출
- ACE 상승 (60-90%에서, 비특이적)
- 흉부 X선: 양측 폐문 림프절 비대 (BHL)
- 비건락성 육아종 (결핵은 건락성)
- IWOS 기준: 7가지 안구 소견 + 전신 검사
육아종성 vs 비육아종성 포도막염: 육아종성 = mutton-fat KP + 홍채결절 (사르코이드, 결핵, VKH, 교감안염). 비육아종성 = fine KP (HLA-B27, Behcet, 특발성).
- 7가지 안구 소견 중 해당 항목 확인
- 전신 검사: 흉부 X선, ACE, lysozyme
- 조직검사가 gold standard
- Definite/Presumed/Probable/Possible 분류
참고문헌 (References)
- Herbort CP, Rao NA, et al. International criteria for the diagnosis of ocular sarcoidosis: results of the first International Workshop on Ocular Sarcoidosis (IWOS). Ocul Immunol Inflamm. 2009;17(3):160-169.
- Jamilloux Y, Kodjikian L, et al. Sarcoidosis and uveitis. Autoimmun Rev. 2014;13(8):840-849.